How to stabilize the joints

In this Quick Tip video
Why you never need to guess about position or contour of front teeth

In this Dawson Quick Tip
Centric Relation – Fact vs. Fiction

In this Quick Tip video
What can it mean when anterior wear is greater than posterior?

Have you ever had a patient in your chair, you’re doing a complete exam, you’re evaluating the wear, and you notice that the wear on their anterior teeth is more than the posterior teeth? Are you wondering, “Why is this happening?” Well, let’s talk about some possibilities that could be causing this.
Why dentists misunderstand centric relation

In this article
Classifying Dental Occlusion: Dawson’s Classifications of Occlusion

In this Dental Quick Tip
Why are there deep grooves in an occlusal splint?

There are two things finding deep grooves in an occlusal splint could mean. Read this article by Dr. John Cranham to find out what those are.
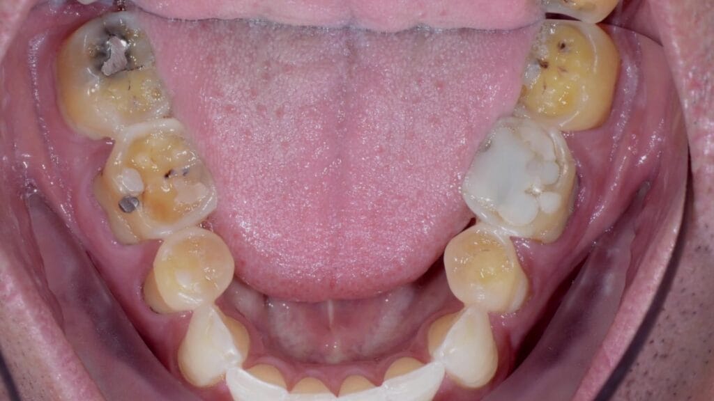
What can it mean when posterior wear is greater than anterior wear?
Dr. Laura Wittenauer discusses what is the root cause when posterior wear is greater than anterior wear.
Why we ask & what it means, Do you clench or grind your teeth?

When I ask this question, I am first and foremost trying to gauge the patient’s awareness of their condition. You will have some time since you give them their complete exam, so I already have a pretty good idea if it is something like parafunction or occlusal disharmony.
Why use Centric Relation?

In this short article
Webinar – Altering the Vertical Dimension
In this dental webinar, you will revisit the important parameters that determine the vertical dimension of occlusion for each individual patient. You will learn how to identify which patients you must consider opening the VDO to have control of the occlusion. We will also discuss which cases you must be very careful about altering the […]
How Splints Fit Into a Treatment Plan
Dr. Hess discusses the different type of occlusal splints and when to integrate them into treatment planning.