How to Achieve Good Lingual Extension with Hydrocast

In this article
What Item in Your Office Could You Not Live Without?

In this blog video, we asked faculty members what items in their office they could not live without. Dr. Andrew Cobb and Mr. Jeff Stubblefield, CDT share their answers: Andrew Cobb: It is an easy one for me. It’s the Wizard. The Wizard has simplified this entire process of complete dentistry. It ensures that I do […]
Why Use an Articulator?

So why do we use an articulator? When we are trying to work out models two-dimensionally and three-dimensionally, what are the correct solutions for our patient? And simply it is just a mechanical device that gives us a way to be able to observe and work out what is actually happening in our patients.
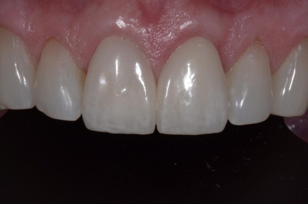
Using Composite to Create a Stable Occlusion

As we go through our treatment we talk about three different phases. Phase one is to stabilize the biology, Stage two is to stabilize the occlusion. Then stage three is to do all the sort of final restorations. Now, certainly, getting the biology correct is going to be incredibly important.
How to Cement a Crown in Under 20 Minutes

Dr. Doyle Freano explains his 4-step process for how to cement a crown in under 20 minutes.
Dentist Education: How Do I Predictably Prep Second Molars?

In this Dawson Quick Tip
Material selection challenges for a new dentist

In this Dawson Quick Tip
How to cement a bridge in 30 minutes or less

Let’s talk about how to cement a bridge every single time in 30 minutes or less. Now, cementing a bridge is a little bit different than a single-unit crown because you have three teeth involved in the occlusion, you have interproximal contacts. You have a lot of issues.
Why do articulators make dentistry predictable?

Using an articulator. It is time to take it out of the closet. It’s not just a doorstop that they made you buy in dental school.
Important considerations for successful adhesive results

In this Quick Tip
Introduction from intra-oral to digital photography

In this Quick Tip
Using the ‘Easy-Extender’

In this Quick tip